The story I'm about to tell you is wild. I don't want to oversell it, but I also don't want you to miss how much our God works in even the smallest details. Also, as always, I am not a doctor. Anything I write on this blog is my experience and should never replace a… Continue reading Welcome back, old friend.
Tag: MS medication
Medication/Supplement Breakdown
***DISCLAIMER*** I do not have a medical degree (shocker), so I cannot give you sound medical advice. I can only share my experience and encourage you to talk to your doctors if you have questions or concerns. There is no substitute for amazing doctors. This is my CURRENT run down of medications and vitamin supplements… Continue reading Medication/Supplement Breakdown
Hair Secrets REVEALED!
(Spoiler alert: I am not trying to sell you anything. I am cheap. And I love to find cheap products that work just as well as crazy expensive ones. So, sorry if you came here today looking for a devotional thought or MS advice. Today is about vanity and hair. Thank you for loving me… Continue reading Hair Secrets REVEALED!
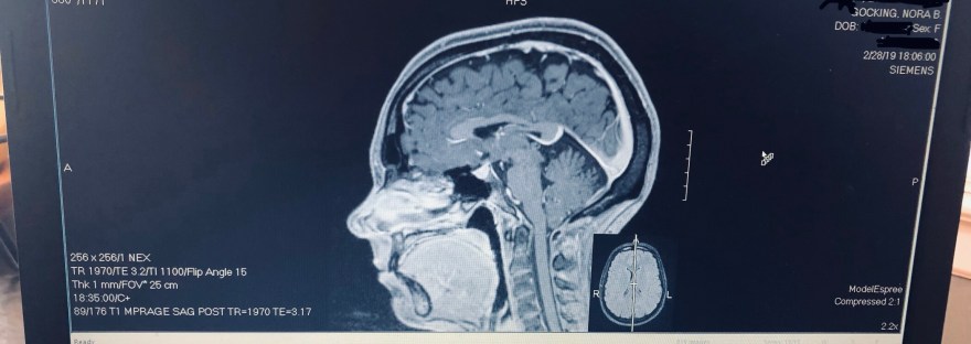
MRI Madness
For many, March is all about March Madness... basketball, tournaments, spring, fun! For me, it's quite a bit different. March is all about MRI Madness in our house. Time for the pre-authorizations, phone calls from insurance companies verifying my very expensive scan, expensive copay's, messaging my favorite MRI tech to make sure she's working during… Continue reading MRI Madness
What’s it like to be a caregiver?
My husband, Brian, is my best friend and the most selfless person I know. I don't know how I would have been able to navigate the past three and a half years without him by my side. I've told him from the beginning that I wouldn't trade places with him for all the money in… Continue reading What’s it like to be a caregiver?
Tecfidera
***Let's begin this post with a little disclaimer... I'm not a doctor. I am not any kind of replacement for your neurologist's advice. This is my personal experience and hopefully by reading it, you will know what questions to ask your doctor. Whatever you do, get a neurologist you TRUST and ask all the questions… Continue reading Tecfidera
New Tecfidera Routine!
So, y'all non-MS'ers, sorry this post won't be of any use to you. You're welcome to read if you enjoy reading about my personal medical/food experiments :). SO. If you are new to Tec or a Tec veteran, you've likely dealt with all the fun side-effects. I almost didn't make it through the first month… Continue reading New Tecfidera Routine!
